近日,湘雅科研团队取得了多项突破。敲黑板!一起看看2024年6月的科研成果吧~
以下成果根据湘雅各二级学院、附属医院官网等整理。
谢辉团队在《生物活性材料》发布成果:基于纳米气体药物治疗脓毒症的新策略
近日,中南大学湘雅医院运动系统损伤修复研究中心主任谢辉教授团队在医学领域顶级期刊《Bioactive Materials》(《生物活性材料》)(IF:18.9;JCR1区期刊)在线发表题为“Self-assembled carbon monoxide nanogenerators managing sepsis through scavenging multiple inflammatory mediators”(自组装一氧化碳纳米制剂通过清除多种炎症介质治疗脓毒症)的原创性研究成果。该研究开发了一种新型自组装纳米一氧化碳制剂(Nano CO),通过直接杀伤细菌、清除炎症介质和激活细胞内自我保护系统来缓解脓毒症的炎症风暴。
谢辉教授表示,这项研究开发的新型纳米一氧化碳气体制剂实现了多靶点治疗效果,包括抗菌、清除多种炎症介质以及激活细胞内自我保护系统。这一创新为脓毒症以及其他免疫炎症失调相关疾病的有效治疗提供了一种前景广阔的新策略。该研究已经申请发明专利(申请号:202311145255.2)。

原文链接:https://www.sciencedirect.com/science/article/pii/S2452199X24001440
沈璐、焦彬团队发现“精神疾病与阿尔茨海默病及认知域受损之间存在关联”
近日,中南大学湘雅医院神经内科、国家老年疾病临床医学研究中心(湘雅医院)沈璐教授、焦彬副研究员团队在神经病学领域顶级期刊《Alzheimer’s & Dementia》(阿尔茨海默病与痴呆,IF=14.0)以论著形式在线发表了题为“The risk of Alzheimer’s disease and cognitive impairment characteristics in eight mental disorders: a UK Biobank observational study and Mendelian randomization analysis”(8种精神疾病与阿尔茨海默病风险及认知域受损的关联:一项基于英国生物银行的观察性研究和孟德尔随机化分析)的最新研究成果。该研究首次联合真实世界数据和孟德尔随机化因果推断方法,发现了双相情感障碍与阿尔茨海默病风险增加存在关联,并揭示了精神分裂症、双相情感障碍和强迫症谱系障碍等精神疾病在不同认知域的特征性受损。

原文链接:https://doi.org/10.1002/alz.14049
彭镜团队在神经科学期刊《Annals of Neurology》发表最新研究成果
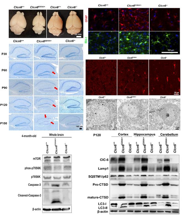
近日,中南大学湘雅医院儿童医学中心彭镜教授团队在神经元蜡样脂褐质沉积症(Neuronal Ceroid Lipofuscinosis, NCL)领域取得重要研究进展,在神经领域顶级期刊《Annals of Neurology》(中科院医学/临床神经学1区, IF=11.2)以论著形式,发表了题为“Mutations in CLCN6 as a Novel Genetic Cause of Neuronal Ceroid Lipofuscinosis”(CLCN6基因突变是神经元蜡样脂褐质沉积症的新遗传病因)的研究论文。
本研究首次在国际上证实CLCN6为NCL的新致病基因,还表明CLCN6致病性变异通过功能获得性细胞毒性作用引起mTOR-TFEB/TFE3-自噬-溶酶体信号通路异常,进而导致NCL的发生发展。这些发现对NCL的早期诊断以及精准治疗有着重要的意义。团队目前继续在Clcn6E200A/+小鼠模型上开展致病机制研究、小分子靶向药物治疗及基因治疗研究,已申请国家发明专利(申请号:202311359287.2)。

原文链接:https://pubmed.ncbi.nlm.nih.gov/38877824/
李园园团队研究发现:口服抗新冠病毒药物可降低新冠感染后综合征风险
近日,中南大学湘雅医院呼吸与危重症医学科呼吸重症监护专科(RICU)主任李园园教授团队在感染病学顶级期刊《Journal of Infection》(《感染杂志》,中科院1区Top,JCR Q1, IF=28.2)发表了题为“Early use of oral antiviral drugs and the risk of post COVID-19 syndrome: A systematic review and network meta-analysis”(早期使用口服抗新冠病毒药物与新型冠状病毒感染后综合征:一项系统综述与网状荟萃分析)的文章。李园园教授团队系统检索PubMed, Web of Science, Embase, Cochrane, MedRxiv以及Psycinfo数据库关于口服抗新冠病毒药物与新冠病毒感染后综合征发生风险的研究(截至2023年11月1日),最终纳入9项观察性研究、共计866066例非住院患者。网状荟萃分析结果显示,早期使用口服抗新冠药物能降低新冠患者发生新冠病毒感染后综合征的风险(RR 0.77,95% CI 0.68-0.88),且优选概率曲线排名(SUCRA)表明奈玛特韦-利托那韦相对莫诺拉韦具有更高的效能(SUCRA:95.5% vs. 31.6%)。此外,该研究还进行了亚组、回归分析探讨结果的异质性来源。敏感性分析显示研究结果较为稳定。以上结果表明,急性期新冠病毒感染患者规范使用口服抗新冠病毒药物治疗可以降低其发生新冠病毒感染后综合征的风险,有望改善预后。

原文链接:https://doi.org/10.1016/j.jinf.2024.106190
陈永恒、刘霆团队合作揭示肝星状细胞铁死亡的新机制
近日,中南大学湘雅医院卫健委肿瘤蛋白质组学重点实验室陈永恒教授团队和消化内科刘霆教授团队,在国际学术权威期刊《Cell Death & Differentiation》(细胞死亡与分化,IF:12.4)上以原创论著形式在线发表了肝纤维化领域取得的重要研究成果“MafG/MYH9-LCN2 axis promotes liver fibrosis through inhibiting ferroptosis of hepatic stellate cells”(MafG/MYH9-LCN2轴通过抑制肝星状细胞铁死亡促进肝纤维化)。
在本项研究中,团队首次发现MafG转录因子在肝纤维化组织和活化的肝星状细胞中高表达,MafG沉默促进肝星状细胞的铁死亡,而MafG过表达抑制肝星状细胞的铁死亡。进一步的机制研究发现,MafG直接结合于LCN2启动子区域,转录激活LCN2的表达影响肝星状细胞中铁离子的代谢,发挥抵抗肝星状细胞铁死亡的作用,从而促进肝纤维化的发生发展,且MYH9与MafG形成复合物介导MafG对LCN2的转录激活作用,表明MafG/MYH9-LCN2信号通路在肝星状细胞的铁死亡中具有重要作用。在胆管结扎诱导的肝纤维化小鼠模型中,以腺相关病毒6为载体靶向敲低肝星状细胞中MafG的表达,促进了铁死亡诱导剂介导的肝纤维化抑制和肝星状细胞铁死亡。研究结果揭示了MafG调控肝星状细胞铁死亡的新机制,为MafG作为肝纤维化治疗的潜在新靶点提供了科学依据。

原文链接:https://www.nature.com/articles/s41418-024-01322-5
周蓉蓉团队在国际期刊《Journal of the National Cancer Institute》发表肿瘤领域重要成果
近日,中南大学湘雅医院肿瘤科周蓉蓉教授团队在国际知名期刊《Journal of the National Cancer Institute》(IF=10.3,中科院1区TOP期刊)上在线发表了晚期非小细胞肺癌领域的重要研究成果“Efficacy and safety of personalized optimal PD-(L)1 combinations in advanced NSCLC: a network Meta-Analysis”(晚期非小细胞肺癌中个体化最佳PD-(L)1联合治疗的有效性和安全性:网状Meta分析)。

周蓉蓉教授团队通过系统性的检索,共纳入了39个已发表的Ⅱ/III期随机对照临床实验,涵盖14种治疗组合,涉及超过18,000名受试者。该网络荟萃分析揭示了在不同条件下,哪些以PD-1/PD-L1抑制剂为基石的联合治疗可为晚期非小细胞肺癌患者带来最大获益。回答了谁是PD-1(PD-L1)最佳搭档,解决了NCCN指南和RCT研究难以开展和回答的临床具体问题,给基层临床一线医生选择联合用药的参考。
原文链接:https://academic.oup.com/jnci/advance-article/doi/10.1093/jnci/djae137/7695242?utm_source=authortollfreelink&utm_campaign=jnci&utm_medium=email&guestAccessKey=e23a1680-95a7-4947-a94d-74038e6c04f0
李湘平、尹继业团队在国际期刊《Advanced Functional Materials》发文阐述抗肿瘤免疫疗法新策略
近日,中南大学湘雅医院药学部李湘平教授和临床药理研究所尹继业研究员团队在国际著名期刊《Advanced Functional Materials》(中科院1区,IF:19.0)发表原创学术论文“Reversing EZH2-Mediated Epigenetic Silence with Photodynamic Polymeric Nanoparticles for Synergistically Enhanced Antitumor Immunotherapy”(“光动力聚合物纳米粒通过逆转EZH2介导的表观遗传沉默协同增强抗肿瘤免疫疗法”)”。该研究构建了一种具有ROS响应性和良好近红外吸收系数的纳米粒,可通过PDT激活和表观遗传重编程重塑小鼠原位乳腺癌模型的肿瘤免疫微环境,在体内诱发强烈的抗肿瘤免疫反应。

本研究成功设计出同时具有PDT和表观遗传重编程效应的免疫治疗纳米递送系统(NP2)。NP2在体内外具有高效低毒的特点,能够靶向蓄积并滞留在肿瘤部位。一方面,NP2能逆转表观遗传沉默,通过EZH2i上调MHC-I的表达,并诱导CXCL9-10的释放。另一方面,NP2具有显著的PDT效果,诱导肿瘤细胞内质网应激发生ICD,导致免疫级联激活。在小鼠原位乳腺癌模型中,PDT激活和表观遗传重编程的协同免疫治疗可重塑小鼠原位乳腺癌模型的肿瘤免疫微环境,在体内诱发强烈的抗肿瘤免疫反应。这项研究为改善临床个体化免疫疗法中的免疫抑制环境提供了一个新思路。
原文链接:https://onlinelibrary.wiley.com/doi/epdf/10.1002/adfm.202403225
刘昭前团队在国际著名期刊《Advanced Science》发表原创学术论文
近日,中南大学湘雅医院临床药理研究所刘昭前教授团队在国际著名期刊《Advanced Science》(中科院1区,IF:15.1)发表原创学术论文“mRNA-Lipid Nanoparticle-Mediated Restoration of PTPN14 Exhibits Antitumor Effects by Overcoming Anoikis Resistance in Triple-Negative Breast Cancer”(“在三阴性乳腺癌中,mRNA-脂质纳米颗粒介导的PTPN14回补通过克服失巢凋亡抵抗表现出抗肿瘤作用”)。该研究通过全基因组CRISPR/Cas9敲除筛选,确定了PTPN14是三阴性乳腺癌(TNBC)失巢凋亡抵抗的关键调节因子。过表达PTPN14通过去磷酸化BCAR3,影响PI3K/AKT和ERK通路,抑制TNBC细胞的失巢凋亡抵抗、成瘤和转移。在小鼠模型中,PTPN14 mRNA-脂质纳米颗粒(LNPs)的瘤内递送抑制了肿瘤的生长和转移,突出了其治疗潜力。

原文链接:https://onlinelibrary.wiley.com/doi/10.1002/advs.202309988
湘雅医院肝癌病理-影像团队在国际期刊发文阐述肿瘤免疫治疗新进展
近日,中南大学湘雅医院肝癌病理-影像团队在病理科周建华、肖德胜主任,放射科廖伟华主任的大力支持下,在肝癌放射介入专家石亮荣主任的指导下,聚焦肝癌免疫的基础与临床转化研究,在国际期刊《Molecular Cancer》(分子肿瘤,IF=27.7)发表题为The role of RNA methylation in tumor immunity and its potential in immunotherapy(RNA甲基化修饰在肿瘤免疫中的作用及其在免疫治疗中的潜力)的综述论文。
本研究主要探讨了RNA甲基化在肿瘤免疫中的作用及其对免疫治疗的潜在影响。研究中提到的主要RNA甲基化类型包括N6-甲基腺苷(m6A)、5-甲基胞嘧啶(m5C)、N1-甲基腺苷(m1A)、N7-甲基鸟苷(m7G)和3-甲基胞嘧啶(m3C)。通过分析这些甲基化类型如何通过“writer”、“eraser”和“reader”影响RNA的翻译和稳定性,从而揭示了RNA甲基化在调节肿瘤微环境中的免疫细胞和免疫因子失调中的关键作用。此外,研究还探讨了RNA甲基化如何调节肿瘤的增殖、侵袭和转移等恶性生物行为,并分析了其在肿瘤免疫逃逸中的作用机制。通过深入探讨RNA甲基化如何介导肿瘤免疫逃逸,该综述不仅增进了我们对肿瘤免疫机制的理解,还为开发新的免疫治疗策略提供了理论基础和潜在的治疗靶点。上述发现对于提高肿瘤免疫治疗的效果具有重要的科学意义和临床应用价值,为未来的肿瘤治疗提供了新的思路和方法。

原文链接:https://doi:10.1186/s12943-024-02041-8
鲁琼团队发文揭示“活性药物”CAR-T免疫细胞在肿瘤中的未来前景
近日,中南大学湘雅二医院药学部鲁琼教授课题组分别在Molecular Cancer杂志(中科院一区,影响因子27.7)在线发表了题为“Deciphering the tumor immune microenvironment from a multidimensional omics perspective: insight into next-generation CAR-T cell immunotherapy and beyond”论文。

嵌合抗原受体CAR-T细胞免疫疗法,在血液系统恶性肿瘤中取得了令人振奋的成功,但令人沮丧的是,CAR-T细胞在实体瘤中的效用范围和潜在的危及生命的毒性仍然是一个难题。随着对肿瘤免疫学谱的进一步深入解码,已经证明操纵复杂的肿瘤免疫微环境(TIME)可以为CAR-T细胞免疫治疗带来新的见解。多组学研究深入揭示了TIME的特性和免疫抵抗机制,这将为CAR-T细胞免疫治疗提供有价值的见解。
王恬团队在国际权威期刊Nature communications发表文章揭示前庭毛细胞再生的新机制
近日,中南大学湘雅二医院耳鼻咽喉头颈外科王恬教授团队在权威期刊《Nature communications》(IF:16.6)上发表了题为“Single-cell transcriptomic atlas reveals increased regeneration in diseased human inner ear balance organs”的原创性研究论文。该文首次报道了人类前庭毛细胞的单细胞测序图谱,并发现了毛细胞再生的相关通路。

随着人口老龄化的加重,越来越多的患者因为疾病或退行性病变而出现前庭功能障碍,导致其平衡功能受到影响,严重者可导致丧失活动能力。前庭功能下降一直是临床上的难题,截止目前仍没有好的办法来改善此类患者的前庭功能。王恬教授前期研究在动物体内成功诱导了前庭的支持细胞向毛细胞转化,为前庭毛细胞的再生提供了理论依据。该论文在动物实验的基础上,进一步绘制了人类前庭毛细胞的单细胞测序图谱,并首次发现了调控人类前庭支持细胞向毛细胞转化的关键基因和通路,该原创性研究为实现人类前庭功能康复提供了重要的理论依据。
原文链接:https://www.nature.com/articles/s41467-024-48491-y
王业伟在国际临床医学权威期刊JCI发表研究性论著揭示了环孢素在防治异体造血干细胞移植排异反应中的作用及缺陷机制
近日,中南大学湘雅二医院血液科副研究员王业伟与美国西雅图Fred Hutchinson癌症研究中心造血干细胞移植科主任Geoffrey R. Hill教授合作,在国际经典权威医学期刊《The Journal of Clinical Investigation》(IF:15.9)上发表了题为“Calcineurin inhibition rescues alloantigen-specific central memory T cell subsets that promote chronic GVHD”的原创性研究论著,详尽揭示了环孢素在防治造血干细胞移植排异中的作用及缺陷机制,解释了困扰临床医生和科学家们多年的环孢素为何不足以全面预防移植排异这一难题。

肖煜东团队在肝脏学期刊《Hepatology》上发表评述性文章
近日,中南大学湘雅二医院放射科肖煜东团队在国际知名学术期刊《Hepatology》(IF:12.9)在线合作发表题为“Intratumor fibrotic HCC, a subtype matching the Hoshida S1 subclass?”的评述型Letter。

肝细胞癌瘤内纤维化与肿瘤进程密切相关,明确肝细胞癌瘤内纤维化相关的通路/代谢改变对指导存在瘤内纤维巢的肝细胞癌治疗至关重要。本文对硬化型肝细胞癌、存在瘤内纤维巢的肝细胞癌进行了区分与讨论,并与Desert博士就存在瘤内纤维巢的肝细胞癌是否与Hoshida S1肝癌亚型匹配进行探讨。
原文链接:https://journals.lww.com/hep/fulltext/2024/05000/letter_to_the_editor__intratumor_fibrotic_hcc,_a.31.aspx
肖涛团队在《Chemical Engineering Journal》期刊上发表原创研究
近日,中南大学湘雅二医院骨科生物医用材料工程实验室肖涛教授团队与澳大利亚皇家墨尔本理工大学Cuie Wen联合在《Chemical Engineering Journal》(IF=15.1)上发表了题为A hydrogel containing Mg2+with improved osteogenesis, enhanced endochondral ossification, and modulated inflammation for bone-repair applications的原创研究。研究者在利用席夫碱反应交联氧化葡聚糖(OD)和儿茶酚胺化葡聚糖(CC)成胶的基础上,加入了适量的阿仑膦酸钠(AS)和氯化镁(MgCl2),实现了Mg2+的可控性缓释,恰好满足了成骨过程对Mg2+的精确需求。在随后的一系列实验验证中,研究者发现该水凝胶不仅具有较好的可注射性,自愈性和生物相容性,还可以清除活性氧(ROS),诱导巨噬细胞M2极化。同时,该水凝胶还在小鼠骨缺损模型上展现出较优良的疗效。总的来说,这种多功能水凝胶为骨缺损,特别是临界骨缺损的治疗提供了一个组织工程学上的新思路,具有不错的临床转化潜力。

原文链接:https://www.sciencedirect.com/science/article/pii/S1385894724042499?via%3Dihub
黎志宏、袁凌青团队在J Nanobiotechnology发表研究论文揭示寒冷暴露诱导的血浆外泌体通过自噬损害骨质量
近日,中南大学湘雅二医院骨科、肿瘤模型与个体化诊治研究湖南省重点实验室黎志宏教授和中南大学湘雅二医院代谢内分泌科、国家代谢性疾病临床医学研究中心袁凌青教授团队在Journal of Nanobiotechnology杂志(IF=10.6)上以Research Article正式发表了题为“Cold exposure-induced plasma exosomes impair bone mass by inhibiting autophagy”的研究论文(2024 Jun 23;22(1):361)。

该研究发现血浆来源的细胞外囊泡在寒冷暴露过程中参与骨代谢的调节。寒冷暴露降低了小鼠的骨量和质量。寒冷暴露诱导的血浆来源的细胞外囊泡(CT-EXO)也可通过抑制自噬活性而损害BMSCs的成骨分化,减少骨量。雷帕霉素,一种有效的自噬诱导剂,可以逆转冷暴露或CT-EXO引起的骨丢失。基因芯片测序显示,冷暴露增加了CT-EXO中miR-25-3p的水平。机制研究表明,miR-25-3P可抑制BMSCs的成骨分分化和自噬活性通过靶向SATB2抑制其的表达。抑制小鼠体内外泌体的释放或下调miR-25-3p水平可以抑制CT所致的骨丢失。该研究证实CT-EXO通过miR-25-3p靶向SATB2抑制自噬介导了寒冷暴露诱导的骨质疏松效应,为预防长期处于寒冷环境生活和工作的人群提供新的治疗靶点。本项目受到国家重点研发计划、国家自然科学基金、国家临床重点专科重大科研专项等科研项目的支持。
李仕晟团队最新综述:全面阐述锰衍生生物材料在肿瘤诊断与治疗中的应用
近日,中南大学湘雅二医院耳鼻咽喉头颈外科中心耳鼻咽喉头颈肿瘤研究室团队在生物工程领域顶级期刊《Journal of Nanobiotechnology》(IF=10.2)上在线发表了题为《Manganese - derived biomaterials for tumor diagnosis and therapy》的综述。

该综述针对锰衍生生物材料在肿瘤的诊断与治疗中的应用进行了全面探讨。文章首先详细介绍了锰衍生生物材料的物理化学特性及其合成方法。随后探讨了锰基材料在肿瘤诊断中的应用,如磁共振成像、光声和光热成像、超声成像、多模式成像和生物检测。同时重点强调了这些材料在肿瘤治疗中的创新应用,包括药物递送、肿瘤微环境调控、协同光热、光动力和化学动力疗法、肿瘤免疫疗法和影像引导治疗。此外,综述还提出了锰衍生生物材料目前的临床应用和未来研究建议,为锰基生物材料的开发和临床转化提供了参考,也为肿瘤诊断和治疗研究提供了新的资料和见解。
原文链接:https://doi.org/10.1186/s12951-024-02629-8
湘雅三医院脊柱外科邓幼文团队在国际外科学权威期刊《International Journal of Surgery》发表重要研究成果
近日,国际外科学权威期刊《International Journal of Surgery》(国际外科学杂志,IF 15.3)刊发了中南大学湘雅三医院脊柱外科邓幼文教授团队原创性研究论文《Clinical efficacy of different surgical approaches in the treatment of thoracolumbar tuberculosis: a multicenter retrospective case–control study with a minimum 10-year follow-up》(不同手术入路治疗胸腰椎结核的临床疗效:一项至少10年随访的多中心回顾性病例对照研究),该研究评价了三种不同手术入路治疗胸腰椎结核的远期临床疗效,为脊柱结核外科治疗决策的制定提供了重要参考。邓幼文教授团队依据团队近20年的脊柱结核诊疗经验,回顾性分析了相关病例资料,总结出:药物仍是脊柱结核治疗的根本,对于前方局限性病变和畸形角度较小的病例,建议采用单纯前路手术,对于多节段病变和畸形角度较大的患者,建议采用单纯后路或前后联合入路,首选单纯后路。

原文链接:Liu, Renfeng PhD; He, Jinpeng PhD; Fan, Qizhi MD; Zhou, Hao MD; Wu, Xin PhD; Yan, Zuyun PhD; Tan, Wei PhD; Zang, Xiaofang PhD; Deng, Youwen PhD. Clinical efficacy of different surgical approaches in the treatment of thoracolumbar tuberculosis: a multicenter retrospective case–control study with a minimum 10-year follow-up. International Journal of Surgery 110(6):p 3178-3189, June 2024. | DOI: 10.1097/JS9.0000000000001272
谭婷婷与合作团队在国际期刊Annals of Rheumatic Disease发表原创研究成果
近日,中南大学基础医学院免疫学系谭婷婷副教授与湘雅二医院骨科欧阳正晓、华中科技大学公共卫生学院田耀华团队合作,在国际权威期刊Annals of Rheumatic Disease(IF:27.4)发表题为“Associations of residential greenness with bone mineral density and osteoporosis: the modifying effect of genetic susceptibility”的研究论文。
骨质疏松症已成为全球性的主要健康问题,绿地接触可降低骨质疏松症发生的风险。该研究分析了居住区绿化对骨密度和骨折风险的影响,并着重评估了遗传易感性在这一关联中的潜在修饰作用。研究团队还运用多基因遗传风险评分(PRS)进一步揭示了基因风险与绿化对骨折风险的共同影响。该研究结果为理解城市环境与骨健康的关系提供了新视角,为未来的公共卫生政策和城市规划提供了有益启示。

原文链接:https://ard.bmj.com/content/83/5/669.long
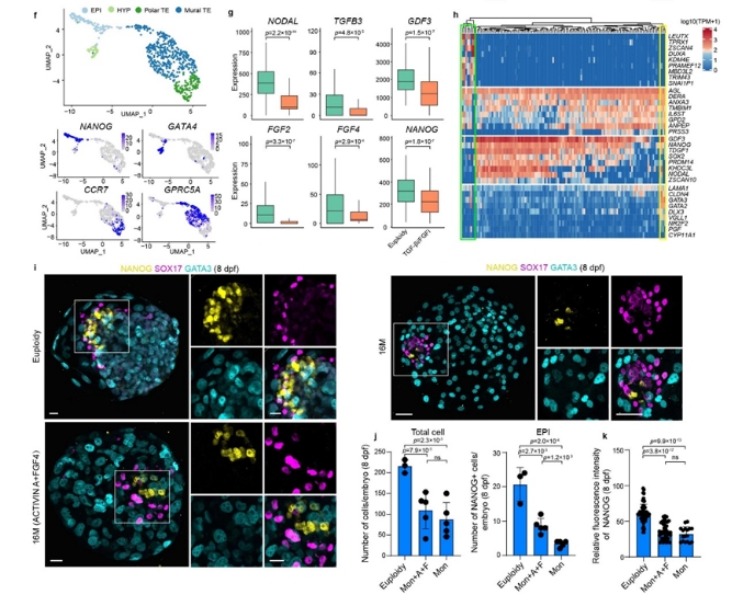
林戈课题组在《自然-遗传学》合作发文:全面解码染色体异常引起人类早期胚胎发育阻滞的机制
近日,中南大学基础医学院林戈课题组与华大生命科学研究院商周春课题组合作在《自然-遗传学》(Nature Genetics)在线发表了题为“人类非整倍体囊胚单细胞转录组图谱(A single-cell transcriptome atlas of human euploid and aneuploid blastocysts)”的研究论文。
染色体非整倍性是人类早期胚胎发育阻滞、流产和出生缺陷的主要原因。然而,非整倍体导致人类早期胚胎发育潜能下降的分子机制还不清楚。林戈课题组基于植入前遗传学检测结果筛选出覆盖1-22号常染色体及性染色体的非整倍体囊胚,总共检测了203枚囊胚,共计14908个细胞的单细胞转录组,揭示了全染色体组非整倍体囊胚的剂量效应规律,发现基因的转录水平与染色体拷贝数成正比。通过差异基因分析识别出每条染色体上的剂量效应基因和剂量补偿基因,并鉴定出90个剂量敏感的区域。课题组还发现上胚层(Epiblast, EPI)是囊胚发育的调整中心,通过分泌TGF-β和FGF信号通路相关因子介导胚内及胚外谱系细胞的命运,并且TGF-β和FGF信号通路活性下降是非整倍体胚胎EPI发育异质性和滋养外胚层(Trophectoderm,TE)成熟不足的重要原因。该研究从全染色体组水平解析了人类早期胚胎染色体倍性—基因表达—谱系分化的级联调控网络,为理解染色体剂量效应及对早期胚胎发育的影响奠定了基础。

陶永光、陈谦明教授团队揭示外泌体源性miR-17-5p介导上皮-成纤维细胞串扰并诱导口腔黏膜下纤维化的新机制
近日,中南大学基础医学院陶永光研究员与浙江大学医学院附属口腔医院陈谦明教授在口腔权威期刊《国际口腔科学杂志》(International Journal of Oral Science)(IF=10.8)发表题为“Exosomal miR-17-5p derived from epithelial cells is involved in aberrant epithelium-fibroblast crosstalk and induces the development of oral submucosal fibrosis(外泌体源性miR-17-5p介导上皮-成纤维细胞通讯并诱导口腔黏膜下纤维化的机制研究)”的原创性研究论文。

口腔黏膜下纤维化(Oral submucous fibrosis, OSF)是由咀嚼槟榔引起的口腔黏膜组织过度修复疾病,属于口腔潜在恶性疾患。成纤维细胞的异常分化导致胶原代谢紊乱是OSF发生发展的核心过程。上皮细胞作为抵御外界环境的第一道防线,可将外界信号转化为病理信号,参与纤维化微环境的重塑。然而,上皮细胞驱动成纤维细胞分化的具体机制仍不清楚。在该研究中,研究团队首次揭示槟榔碱触发了异常的上皮-成纤维细胞相互对话,且证明上皮源性外泌体可富集miR-17-5p促进成纤维细胞胶原代谢紊乱,诱导肌成纤维细胞表型转化。进一步阐明外泌体源性miR-17-5p可靶向Smad7,抑制TGFBR1的E3泛素化酶WWP1的表达,通过经典TGF-β纤维化通路促进OSF发生发展,为OSF的诊断和治疗提供了新的视角和策略。
原文链接:https://www.nature.com/articles/s41368-024-00302-2
胡明月团队在《Psychiatry Research》杂志发表原创研究
近日,湘雅护理学院胡明月讲师与杜兰大学邓红文教授、张楷团队合作,通过UK biobank在《Psychiatry Research》(IF=11.3)杂志发表原创研究“Unveiling the link between physical activity levels and dementia risk: Insights from the UK Biobank study”。该研究揭示三种体力活动(Physical activity, PA),即轻度LPA、中度MPA和重度VPA对痴呆发生影响中的混合权重和痴呆亚型权重。具体地,通过对354,123名45岁及以上的中老年人长达约12.5年的痴呆事件跟踪,发现了VPA对降低痴呆发生权重最高(weight: 0.7922),MPA(weight: 0.1939)排次。在痴呆亚型权重中,MPA对阿尔茨海默氏症AD影响最强;VPA对血管性痴呆VaD最强。研究对认知障碍精准和高效干预提供新思路。


原文链接:https://linkinghub.elsevier.com/retrieve/pii/S0165178124001604
韩惟青团队参与的研究为晚期一线肾透明细胞癌患者提供全新的治疗方案
近日,由谈球吧附属肿瘤医院泌尿外科的叶明佶副主任医师作为共同第一作者在《ANNALS OF ONCOLOGY》(中科院大类一区,2022IF=50.5)发表了题为“Toripalimab plus axitinib versus sunitinib as first-line treatment for advanced renal cell carcinoma:
RENOTORCH, a randomized, open-label, phase III study(特瑞普利单抗联合阿昔替尼对照舒尼替尼一线治疗晚期肾透明细胞癌的随机、开放标签的Ⅲ期研究(RENOTORCH)”的原创性研究论文。
这是首个国产免疫抑制剂联合抗血管生成药物在晚期肾透明细胞癌一线治疗中的探索,为晚期肾透明细胞癌患者的一线治疗提供了全新的可选方案。该研究显示:联合用药组(特瑞普利单抗联合阿昔替尼)versus对照组(舒尼替尼)的中位无进展生存期(PFS)为18.0月versus 9.8月(p=0.0028),客观缓解率(ORR)为56.7% versus 30.8%(p<0.0001),1年OS率为90.5% versus 81.9%,2年OS率为71.8% versus 63.2%(HR 0.61),3级及以上不良反应率为61.5% versus 58.6%,显示出特瑞普利单抗联合阿昔替尼良好的疗效和可控的安全性。特瑞普利单抗联合阿昔替尼的治疗新模式为晚期一线肾透明细胞癌患者提供了颇具前景的治疗策略。

罗永忠团队在探索非小细胞肺癌单药治疗方案中取得新进展
近日,由谈球吧附属肿瘤医院罗永忠团队作为共同第一作者单位在知名期刊《JOURNAL OF THORACIC ONCOLOGY》(中科院大类一区,2022IF=20.4)发表了题为《A Phase 1b Study of Ivonescimab, a Programmed CellDeath Protein-1 and Vascular Endothelial GrowthFactor Bispecific Antibody, as First-or Second-LineTherapy for Advanced or MetastaticImmunotherapy-Naive NSCLC》(一种程序性细胞死亡蛋白-1和血管内皮生长因子双特异性抗体---依沃西单抗治疗一线及二线晚期或转移性非小细胞肺癌的1b期临床研究)的原创性研究论文。
这是中国首个原研PD-1和VEGF双特异性抗体药物在一线及二线晚期或转移性非小细胞肺癌单药治疗中的探索,为非小细胞肺癌患者提供了全新优选的治疗方案。该研究结果显示:入组108名非小细胞肺癌患者中,单药使用依沃西单抗展示的ORR(客观缓解率)为39.8%,DCR(疾病控制率)为86.1%,并且3级及3级以上免疫相关不良安全事件发生率较低。此项研究显示依沃西单抗单药表现出了优异的抗肿瘤活性及可控可管理的药物耐受性,依沃西单抗单药治疗新模式为一线及二线晚期或转移性非小细胞肺癌患者提供了新的治疗方向和选择,具备良好的临床应用前景。

王静团队在《Clinical Cancer Research》上发表了一项卡度尼利单抗联合化疗加或不加贝伐单抗作为复发或转移性宫颈癌的一线治疗(COMPASSION-13):2期研究的成果
近日,由谈球吧附属肿瘤医院王静教授作为通讯作者在《Clinical Cancer Research》(中科院大类一区,2022IF=11.5)发表了题为“Cadonilimab Combined with Chemotherapy with or without Bevacizumab as First-Line Treatment in Recurrent or Metastatic Cervical Cancer (COMPASSION-13): A Phase 2 Study(Cadonilimab联合化疗加或不加贝伐单抗作为复发或转移性宫颈癌的一线治疗(COMPASSION-13):2期研究)”的原创性研究性论文。
该研究是一项非随机、多队列的II期AK104-210试验,旨在初步探索卡度尼利单抗联合化疗加或不加贝伐珠单抗一线治疗晚期/复发性宫颈癌的安全性和有效性。本研究的初步结果最早由王静教授发布于2022年ASCO年会,此次CCR发表的论文为更新之后的结果。试验结果表明:卡度尼利单抗联合标准方案一线治疗晚期或复发性宫颈癌的安全性可控,整体上≥3级的TRAE发生率为73.3%,≥3级的irAE发生率为20.0%;没有出现卡度尼利单抗相关的死亡。最常见的不良反应主要是血液相关毒性(骨髓抑制)和内分泌毒性;大家较为关心的输液相关反应,其发生率只有4例(8.9%),其中A-15队列2例,A-10和B-10队列各1例。总之,本项试验结果显示卡度尼利单抗联合标准方案一线治疗晚期或复发性宫颈癌是安全、有效的。

王静团队在《Research》上发表孕酮促进棕榈油酸介导的铁死亡增强尼拉帕利在卵巢癌中疗效的研究成果
近日,由谈球吧附属肿瘤医院王静、廖前进教授作为通讯作者,吴娜怡园为第一作者,湘雅医学院附属肿瘤医院为第一单位在《Research》(中科院大类一区,2022IF=11.0)发表了题为“Progesterone Enhances Niraparib Efficacy in Ovarian Cancer by Promoting Palmitoleic-Acid-Mediated Ferroptosis(孕酮促进棕榈油酸介导的铁死亡增强尼拉帕利抗卵巢癌的疗效)”的原创性研究性论文。
这项研究以卵巢癌类器官模型、卵巢癌细胞系、小鼠卵巢原位成瘤模型、临床队列和组织样本为研究对象,从体内外多层面证实,无论BRAC突变与否,孕酮均可增强PARP抑制剂尼拉帕利在卵巢癌中的疗效。并发现孕酮增敏尼拉帕利在卵巢癌中疗效的分子机制是通过上调SCD1的转录与表达,增强脂肪酸氧化代谢和棕榈油酸,并诱导铁死亡,进而提高卵巢癌对尼拉帕利的敏感性。这些发现不仅为孕酮辅助增敏尼拉帕利在卵巢癌中治疗提供实验及理论依据,也为临床上拓展PARP抑制剂适应症提供颇具前景的新策略。

陈帅团队一项针对CMV的过程T细胞受体用于GBM的研究发表在《JOURNAL FOR IMMUNOTHERAPY OF CANCER》
近日,由谈球吧附属肿瘤医院神经外科陈帅副教授作为联合通讯作者和第一单位的文章“ScRNA-seq reveals novel immune-suppressive T cells and cytotoxicity against GBM(一项ScRNA-seq揭示了新的免疫抑制T细胞并研究CMV-TCR-T细胞对GBM的细胞毒性)”发表在《JOURNAL FOR IMMUNOTHERAPY OF CANCER》(中科院大类一区,2022IF=10.9)上。
之前的研究表明巨细胞病毒是胶质瘤的危险因素,但是几乎没有针对CMV的过程T细胞受体用于GBM的研究。本文研究了在CMV感染的GBM中鉴定了两个新的免疫细胞亚群,即双阳性CD68+SOX2+肿瘤相关巨噬细胞和FXYD6+T细胞,而CMV-TCR-T细胞对人源性原位GBM小鼠模型显示出显著的治疗作用。因此这些发现对于深入了解CMV感染促进GBM免疫抑制的潜在机制,并为GBM患者提供了一种新的潜在免疫治疗策略。

罗永忠团队在《JAMA》杂志发表治疗非小细胞肺癌全新治疗方案
近日,谈球吧附属肿瘤医院胸内一科罗永忠教授作为共同第一作者于国际顶尖权威期刊《美国医学会杂志》(Journal of the American Medical Association JAMA中科院大类一区,2023IF=63.1)在线发表了一项最新的临床研究成果。据悉,该项HARMONi-A(AK112-301)研究中,探索了新型免疫治疗药物---依沃西单抗联合化疗在经EGFR-TKI治疗失败的EGFR突变的局部晚期或转移性非鳞非小细胞肺癌患者中的作用,为EGFR靶向治疗耐药后的非小细胞肺癌患者提供了全新的治疗方案。更可喜的是,该研究期中分析结果被2024年美国临床肿瘤学会(ASCO)收录为口头报告,在国际舞台上发出了中国原创临床研究的强劲之音!
EGFR-TKI是EGFR敏感突变NSCLC的标准一线治疗,但获得性耐药不可避免。目前临床上EGFR-TKI尤其是第三代TKI治疗进展患者,最佳的治疗选择仍然有限。III期HARMONi-A研究改写EGFR-TKI耐药的EGFR突变肺癌临床实践。研究结果显示:依沃西单抗同时阻断VEGF通路和PD-1通路,联合含铂双药化疗方案,显著延长PFS,降低疾病进展或死亡风险达54%,创新记录;同时,几乎所有预设亚组接受依沃西单抗联合方案相比化疗在PFS方面都有优势;OS方面,依沃西单抗联合方案组观察到OS有明显延长趋势,降低死亡风险23%。新型免疫治疗药物及治疗方案,将重新定义EGFR-TKI治疗失败NSCLC的标准治疗。
基于该研究取得的卓越成果,2024年5月24日,依沃西单抗联合化疗治疗EGFR-TKI治疗进展的EGFR突变的局部晚期或转移性非鳞状NSCLC被国家药品监督管理局(NMPA)批准上市,成为全球第一个获批上市的“肿瘤免疫+抗血管生成”机制的双特异性抗体新药,也是中国第二个获批上市独立自主的双特异性抗体新药。这项来自中国自主研发的创新方案有望改写全球EGFR-TKI耐药的EGFR突变非鳞状NSCLC的治疗格局,彰显了中国学者在肿瘤免疫治疗临床研究领域的引领地位。

周辉团队在《Leukemia》杂志发表NK/T细胞淋巴瘤研究新成果
近日,由谈球吧附属肿瘤医院作为第一单位,该院周辉教授作为通讯作者、李亚军教授作为第一作者在《Leukemia》(中科院大类一区,2023IF=12.8)发表了题为“Increased coexpression of PD-L1 and IDO1 is associated with poor overall survival in patients with NK/T-cell lymphoma(PD-L1和IDO1共表达增加与NK/T细胞淋巴瘤患者总生存率低相关)”的原创性研究论文。
该团队通过分析来自三个肿瘤中心的ENKTL组织样本的免疫组织化学(IHC)数据和基因表达综合数据库(GEO)的RNA-seq数据集,研究了PD-L1和IDO1的表达及其对ENKTL患者预后的影响。此外,基于PD-L1和IDO1的共同表达和临床特征构建了列线图模型。随后,根据列线图模型探讨了风险组与免疫特征(包括浸润性肿瘤免疫细胞和免疫检查点分子)之间的关系。研究显示PD-L1和IDO1的共表达与NK/T细胞淋巴瘤患者较差的OS相关,研究结果在外部数据集进行了验证。这项研究首次全面评估了PD-L1和IDO1蛋白的表达对NK/T淋巴瘤患者生存的影响,研究结果提示IDO1联合PD-L1阻断可能是ENKTL患者免疫治疗的理想靶点。

衡建福团队在《J Exp Clin Cancer Res》上发表非小细胞肺癌抗PD-1治疗分子标志物的研究
近日,由谈球吧附属肿瘤医衡建福助理研究员作为通讯作者在《J Exp Clin Cancer Res》(中科院一区,,IF=11.5)发表了题为“CXCR6-positive circulating mucosal-associated invariant T cells can identify patients with non-small cell lung cancer responding to anti-PD-1 immunotherapy (CXCR6阳性的MAIT细胞可以区分非小细胞肺癌患者抗PD-1免疫治疗是否敏感)”的原创性研究论文。
研究通过单细胞RNA测序(scRNA-seq)、流式细胞术和多重免疫荧光检测等技术,确定抗PD-1治疗敏感和原发耐药的转移性NSCLC患者组织和外周血中的CD8+MAIT细胞的特征。结果显示在抗PD-1治疗敏感组基线状态活化和增殖的CD8+MAIT细胞比例显著较高于耐药组。敏感组的外周和肿瘤浸润CD8+MAIT细胞显示出CXCR6表达上调。CD8+细胞中CD8+MAIT细胞的占比≥15.1%,CD8+MAIT细胞中CXCR6+CD8+MAIT细胞占比≥35.9%的患者在免疫治疗后的无进展生存期(PFS)更长。本研究为转移性NSCLC患者的抗PD-1治疗的患者筛选提供了潜在的分子标志物。

杨永佳团队在《消化道》杂志发布成果:CPA1剪切位点变异导致家族性胰腺炎
近日,谈球吧附属儿童医院医学遗传科杨永佳研究员团队在医学领域顶级期刊《GUT》(《消化道》)杂志(IF:23.1;JCR1区期刊)在线发表题为“Familial pancreatitis associated with a splice-site variant in CPA”(CPA剪接位点变异导致家族性胰腺炎)的原创性研究成果。该研究对来自于家族性胰腺炎家系的一个CPA1基因剪切位点变异进行了体外功能试验,证明CPA1基因c.988-2A>G变异产生三种错误剪切蛋白,此三种错误剪切产生的变异蛋白均引起细胞内(内质网)滞留,引发内质网压力,从而致病。此研究为首次功能学证明CPA1剪切位点变异导致家族性胰腺炎,纠正了以往CPA1基因只有在错义变异状态下才导致胰腺炎的理论。

原文链接:https://gut.bmj.com/content/early/2024/06/18/gutjnl-2024-332845