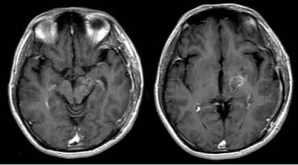
今年19岁的小刘,是一个刚退伍的陆军战士。他在入伍前偶有右侧肢体轻微无力,但通过在部队里通过刻苦训练,克服了右侧肢体无力的困难,并于2015年退伍后。哪知2016年1月以来,小刘感觉走路容易摔跤,爬楼梯时右脚跟上提困难,右侧肢体力量下降明显。在谈球吧附属肿瘤医院(湖南省肿瘤医院)神经外科的头颅MRI检查提示:小刘患有左侧丘脑中脑占位病变,考虑低级别胶质瘤。2016年3月9日,小刘在医院何正文团队的手术方案下成功切除这一神经外科中的“老大难”问题。
据医院神经外科主任何正文介绍,丘脑胶质瘤的治疗一直是神经外科的难题,这一部位胶质瘤患者术前较易出现瘫痪、脑积水症状,严重者危及生命,手术治疗是丘脑胶质瘤综合治疗中最为关键的一步。面对如此重病,之前家属也辗转多家三甲医院进行咨询。
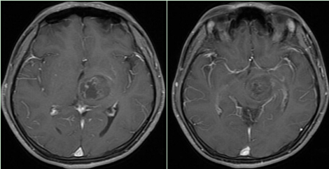
由于小刘的脑内肿瘤累及到了生命中枢脑干部位,不同于常见的丘脑肿瘤,为设计最佳手术入路及体位,何正文团队为患者设计了3D打印手术模型,同时由于患者病变部位位于脑部中心位置,何正文采用最先进的神经导航技术精准定位肿瘤。经过周密的手术计划,术中见肿瘤位于左侧丘脑、中脑部位,起源于丘脑,质韧,有相对边界,血供中等,术中在神经导航辅助下,经由最佳路径精准定位肿瘤,选用经皮质入路,显微镜下完全切除肿瘤,4个多小时即顺利结束手术,术后2小时患者顺利麻醉苏醒,右侧肢体肌力与术前比较稍有下降,术后经过何正文主任、唐智副主任医师等医护工作人员的精心治疗,小刘术后恢复顺利。术后复查,肿瘤全切除。
何正文教授说,“向脑干方向生长者明显增加了手术暴露的难度、手术的风险及全切除的难度,但随着显微神经外科技术的成熟和手术入路的不断改进、3D打印的临床应用和神经导航新技术的运用,丘脑胶质瘤的手术疗效有了显著提高,手术并发症显著降低,对于丘脑胶质瘤在有手术指征的情况下应争取手术治疗, 手术能明显改善预后。
图1 术前MRI片

图2 术前3D打印模型

图3 术中神经导航精准定位肿瘤

图4 术后MRI示肿瘤全切除

图5 术后两周 患者恢复接近术前状态